Cabinet dentaire des Docteurs
LEM.                         LEMAIRE et JORDAN
     Ch.                   
                                  
                                                           
Chirurgiens-Dentistes
+33 4 79 85 40 26
91 avenue Domenget, 73190 CHALLES LES EAUX

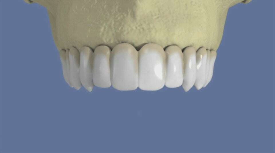
Maxillaire : bridge vissé sans fausse gencive


video-play-icon

Articles similaires

Création par Webdentiste

Connexion